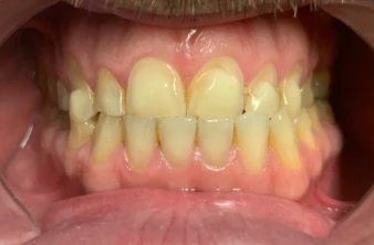
TRANSFORMACIJA PRE I POSLE

Pacijentima smo vratili funkcionalnost i estetiku zuba.

p4_0_1xp4_1_1x
p1_0_1xp1_1_1x
p2_0_1xp2_1_1x
p3_0_1xp3_101
p_9_1xp_10_1x
p_7_1xp_8_1x
p_5_1xp_6_1x